Casos Clínicos

Manejo expectante de la ruptura prematura de membranas lejos de término con resultado neonatal favorable: reporte de caso clínico

Expectant management of premature rupture of membranes far from term with favorable neonatal outcome: a clinical case report

Melissa Abigail Hidalgo Valencia1, Alejandra Elizabeth Calero Tipantuña2, Doménica Isabel Campoverde Verdugo3, Vanessa Michelle García Gudiño4; Juan Sebastián Sandoval León5



Resumen

La ruptura prematura pretérmino de membranas complica menos del 4% de las gestaciones únicas y menos del 50% presenta un parto pretérmino. El diagnóstico es clínico, sin embargo, existen exámenes complementarios confirmatorios, el tratamiento depende de la edad gestacional. Existen pocos reportes de casos sobre el manejo expectante asociado a un periodo de latencia prolongado con adecuados resultados maternos y neonatales, se describe el siguiente caso clínico. Se trata de una mujer de 37 años que acude a emergencia cursando embarazo de 31 semanas y 3 días de edad gestacional por fecha de ultima menstruación de su primer embarazo, producto de fertilización in-vitro con salida de líquido claro por vagina de dos horas previo a su valoración, sin síntomas acompañantes. Se evidencia al examen físico hidrorrea clara sin grumos y se realizan exámenes complementarios que confirman diagnóstico. La paciente permanece hospitalizada con manejo expectante por 11 días, se decide finalizar el embarazo debido a la presencia de manifestaciones clínicas incipientes que reflejan el inicio de una corioamnionitis. Al nacimiento el neonato ingresa a cuidados intensivos neonatales y posteriormente a cuidados intermedios, es dado de alta a los 15 días de nacimiento debido a resultados neonatales favorables.

Palabras claves: RPM pretérmino, latencia, resultados del manejo expectante.


Abstract

Premature rupture of membranes complicates less than 4% of singleton pregnancies and less than 50% of deliveries are preterm. Diagnosis is clinical, although confirmatory tests are available, and treatment depends on gestational age. There are few case reports of expectant management associated with a prolonged latency period with adequate maternal and neonatal outcomes, the following case report is described. This is a 37-year-old woman who comes to the emergency department with a pregnancy of 31 weeks and 3 days gestational age due to the last menstrual period of her first pregnancy, a product of in vitro fertilization, with loss of clear fluid from the vagina two hours prior to her evaluation, with no accompanying symptoms. Physical examination reveals clear hydrorrhea without lumps and complementary tests were performed which confirmed the diagnosis. The patient remains in hospitalization with expectant management for 11 days, and it was decided to terminate the pregnancy due to the presence of incipient clinical manifestations reflecting the onset of chorioamnionitis. At birth, the neonate was admitted to neonatal intensive care and subsequently to intermediate care, and was discharged 15 days after birth due to favorable neonatal outcomes.

Keywords: PPROM, latency, outcome of expectant management.


  1. Posgradista de Ginecología y Obstetricia de la Universidad Internacional del Ecuador; Quito, Ecuador; https://orcid.org/0000-0001-6848-1902
  2. Posgradista de Ginecología y Obstetricia de la Universidad Internacional del Ecuador; Quito, Ecuador; https://orcid.org/0009-0005-3623-7688
  3. Posgradista de Ginecología y Obstetricia de la Universidad Internacional del Ecuador; Quito, Ecuador; https://orcid.org/0000-0003-2905-4486
  4. Posgradista de Ginecología y Obstetricia de la Universidad Internacional del Ecuador; Quito, Ecuador; https://orcid.org/0000-0001-9269-5986
  5. Especialista en Ginecología y Obstetricia médico tratante Hospital Metropolitano; Quito, Ecuador; https://orcid.org/0009-0000-4493-7514

Usted es libre de:
Compartir — copiar y redistribuir el material en cualquier medio o formato.
Adaptar — remezclar, transformar y construir a partir del material para cualquier propósito, incluso comercialmente.

Recibido: 20-06-2025
Aceptado: 10-07-2025
Publicado: 28-09-2025
DOI: 10.47464/MetroCiencia/vol33/3/2025/155-162

*Correspondencia autor: meli.abi.hidalgo22@gmail.com


Introducción

La ruptura prematura de membranas (RPM) es la rotura de las membranas ovulares antes del inicio del trabajo de parto con la consiguiente salida de líquido amniótico1; se produce por la influencia de varios mecanismos como la inflamación y estrés oxidativo, la producción de metaloproteinasas de matriz especialmente las isoformas uno, dos y nueve, además de la transición epitelial a mesenquimal2. También se han descrito la presencia de microfracturas, la disminución de remodelación de las membranas, el envejecimiento celular, la producción de trombina inducida por infecciones y finalmente factores genéticos y epigenéticos2. Cada uno de estos mecanismos influye en la integridad de las membranas y se asocia a su debilitamiento. El diagnóstico temprano de esta patología y el manejo apropiado según la edad gestacional de presentación y otros elementos coyunturales a la paciente, el feto o el embarazo, son determinantes para asegurar los mejores resultados perinatales tanto materno como fetales1.

Clasificación 

La RPM se clasifica en cuatro grupos de acuerdo a la edad gestacional3

  • RPM previable: ocurre antes de las 23 semanas y 0 días de gestación. Durante este periodo, el feto no es capaz de sobrevivir fuera del útero y no es candidato a intervenciones de soporte vital3.
  • RPM periviable: ocurre entre las 23 semanas y 0 días y las 23 semanas y 6 días de gestación. En esta etapa, el feto puede sobrevivir fuera del útero con intervenciones de soporte vital, aunque existe un alto riesgo de mortalidad o morbilidad grave3.
  • RPM pretérmino: En este grupo los fetos son viables y pueden sobrevivir fuera del útero. Este grupo se subdivide en:
    1. Lejos de término: Entre las 24 semanas y 0 días a las 32 semanas y 6 días de gestación3.
    2. Cerca de término: Entre las 33 semanas y 0 días a las 36 semanas y 6 semanas de gestación3.
  • RPM a término: Corresponde a las 37 o más semanas de gestación, antes del inicio del trabajo de parto3.

Epidemiología: la RPM en las gestaciones previables y periviables es rara, afectando a menos del 1% de embarazos4; sin embargo, la RPM pretérmino complica del 2% al 4% de las gestaciones únicas y entre el 7% y el 20% de las gestaciones gemelares1. El curso del embarazo se ve afectado puesto que del 30% al 40% de las gestaciones finaliza en forma de parto pretérmino4, siendo lo más común (72% y 95% de los casos), finalizando en parto espontáneo en las primeras 24 horas posteriores al diagnóstico de RPM4.

Factores de riesgo: se han descrito múltiples factores de riesgo, el antecedente de parto pretérmino, especialmente si fue a una edad gestacional muy temprana (antes de la semana 20) es particularmente relevante1. Elementos anatómicos como aquellos consecuencia de cirugía cervical previa (traquelectomía, cono frío y LEEP) múltiples legrados, anomalías uterinas son comúnmente citados5. Además, factores socio-demográficos como edad materna (17 años y 35 años), raza negra no hispana o indígena, nivel socioeconómico bajo, IMC <18,5 kg/m2 o peso previo al embarazo <50 kg (<120 lb), largas horas de trabajo (>80 horas/semana), estar de pie más de 8 horas y periodo intergenésico corto no deben ser pasados por alto5. Por otra parte, la concepción mediante técnicas de reproducción asistida, la gestación múltiple, las anomalías fetales cromosómicas y estructurales, la restricción de crecimiento intrauterino, el sangrado durante la primera y segunda mitad del embarazo, se han asociado frecuentemente con RPM4. Factores adicionales como las condiciones médicas maternas asociadas a enfermedades crónicas no transmisibles, cirugía abdominal materna durante el embarazo, problemas psicológicos4. Otros como el consumo de alcohol, tabaco o drogas. Infecciones genitales, infección intrauterina, infección intraamniotica e infección de vías urinarias5. Así mismo, tener una longitud cervical corta entre las 14 y 28 semanas4. Por último, la exposición a procedimientos como amniocentesis, fetoscopia, cirugía fetal, toma de muestras de sangre de la vena umbilical por vía percutánea, cerclaje y traumatismos, entre otros5.


Reporte de caso

Paciente de 37 años sin antecedentes patológicos personales ni gineco-obstétricos relevantes, que acude para valoración por emergencia cursando embarazo de 31 semanas y 3 días de edad gestacional por fecha de última menstruación de su primer embarazo, producto de fertilización in-vitro, con la preocupación de salida de líquido claro por vagina en abundante cantidad, dos horas previo a su valoración sin presentar síntomas acompañantes. Al examen físico presenta un útero gestante, feto único vivo, transverso dorso superior, altura de fondo uterina acorde a edad gestacional, actividad uterina clínicamente ausente, frecuencia cardiaca fetal con 134 latidos por minuto, movimientos fetales presentes, genitales externos de nulípara, a la especuloscopía se evidencia cérvix central cerrado con hidrorrea macroscópica con líquido claro sin grumos en abundante cantidad, tacto vaginal diferido. Monitoreo electrónico fetal categoría I sin actividad uterina. Se administra primera dosis de maduración pulmonar con betametasona 12 miligramos intramuscular, se realiza ecografía obstétrica con frecuencia cardiaca fetal de 128 latidos por minuto, presentación transversa dorso superior, con biometrías acordes a la edad gestacional, peso fetal estimado de 1859 (±271 gramos) percentil 65, placenta anterior, se identifica líquido amniótico disminuido con bolsillo vertical máximo de 0.8 cm (Figura 1), sexo masculino. Se realizan exámenes de laboratorio con reporte de leucocitos 9.72 K/uL, neutrófilos 82.2%, linfocitos 10.8%, plaquetas 198.000 K/uL, hemoglobina13.9 g/dL, hematocrito 40%, proteína C reactiva 4.80 mg/L, interleucina-6 3.19 pg/mL, elemental y microscópico de orina no infeccioso, cultivo para estreptococo grupo B negativo.

Figura 1. Ecografía obstétrica al ingreso de la paciente. A) BDP: 78.2 mm. B) PA:278.4 mm. C) LF: 60.1 mm. D) Bolsillo máximo 0.8 cm. E) Doppler AU: percentil 89. F) FCF: 128 lpm.
Fuente. Imagen tomada de reporte ecográfico realizado en el Hospital Metropolitano de Quito, 2024

Tratamiento: tras corroborar el bienestar materno-fetal y diagnosticar la evidente ruptura prematura pretérmino de membranas, se ingresó a la paciente para manejo expectante con antibioticoterapia a base de ampicilina 2 gramos intravenoso y eritromicina 250 mg vía oral en ese momento, neuroprotección a base de sulfato de magnesio con dosis de impregnación de 4 gramos intravenoso en 20 minutos y de mantenimiento con dosis de 1 gramo intravenoso cada hora por 24 horas. Se administró una segunda dosis de maduración pulmonar con betametasona 12 miligramos intramuscular a la misma hora de administración de la primera dosis al siguiente día y se mantuvo con antibioticoterapia a base de ampicilina 2 gramos intravenoso cada 6 horas más azitromicina 1 gramo vía oral cada día hasta las 31 semanas y 4 días. Posteriormente se suspendió la antibioticoterapia a base de la ampicilina, se mantuvo la azitromicina y se agregó amoxicilina 250 mg vía oral cada 8 horas hasta las 32 semanas y 1 día, se suspendió la antibioticoterapia a base de azitromicina y se continuó con amoxicilina hasta las 32 semanas y 4 días; a esa edad gestacional se realizaron exámenes de laboratorio con parámetros normales. La paciente se mantuvo clínicamente estable, con monitoreos electrónicos fetales categoría I.

A las 32.6 semanas la paciente refirió dolor abdominal (escala visual analógica 6/10) y salida de líquido escaso. A la exploración se observó un útero gestante con feto único vivo, transverso dorso superior, altura de fondo uterino acorde a edad gestacional, actividad uterina clínicamente palpable irregular, frecuencia cardiaca fetal con 140 latidos por minuto, movimientos fetales presentes, genitales externos de nulípara con evidencia de hidrorrea macroscópica con líquido claro sin grumos en escasa cantidad, tacto vaginal diferido. Monitoreo electrónico fetal categoría I con actividad uterina irregular. Se realizan exámenes de laboratorio con parámetros normales. Se procede a realizar cesárea obteniendo un recién nacido vivo, masculino, peso 1990 gramos, perímetro cefálico 32.5 centímetros, talla 41.4 centímetros, APGAR 7-9. Se evidencia anhidramnios y se envía placenta para estudio histopatológico.


Anatomía patológica

Macroscópico: Placenta de 15 x 12 x 2 cm, ovoide de 338,5 gramos. Superficie fetal integra, amnios opaco. Superficie materna lacerada, completa, con infartos.

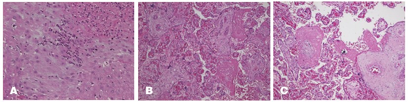
Microscópico: Decidua basal con focos de hemorragia reciente, depósitos de fibrina, vellosidades necróticas, nódulos sincitiales 5%, calcificaciones dispersas, membranas corioamnióticas engrosadas con depósitos de fibrina e infiltrados leucocitarios (Figura 2).

Diagnóstico: Placenta inmadura con infartos antiguos y recientes, hematoma laminas retroplacentarias, inflamación crónica.

Figura 2. Corte histológico teñido con Hematoxilina-Eosina. A) Membranas amnióticas con signos de inflamación crónica y linfocitos. B) Placenta con infartos y hemorragia. C) Placenta con calcificaciones.
Fuente. Colaboración del Dr. Enrique Hermida, servicio de patología del Hospital Metropolitano de Quito, 2024

Resultados y seguimiento

En el primer día del puerperio inmediato la paciente recibe cefazolina 1 gramo intravenoso cada 8 horas, refiere alza térmica 37.6°C aislada, por lo que en al segundo día del puerperio mediato se realizan exámenes de laboratorio con resultado normal. Se añade al tratamiento antibiótico previo clindamicina 900 miligramos intravenoso cada 8 horas y gentamicina 120 miligramos intravenoso. Al tercer día del puerperio mediato la paciente presenta temperatura de 38.3°C con clínica de dificultad respiratoria con adecuada entrada de aire y murmullo vesicular disminuido en ambas bases pulmonares sin ruidos sobreañadidos. Se toman tres muestras para hemocultivo con resultado negativo. Se realiza radiografía de tórax en dos posiciones con reporte de presencia de líquido laminar a nivel de la cisura menor e infiltrados alveolo-intersticiales en pulmón izquierdo. En consecuencia, se suspende antibioticoterapia a base de cefazolina y se continua con antibioticoterapia a base de clindamicina y gentamicina por 3 días más. Al séptimo día, la paciente tuvo una evolución clínica favorable sin signos de dificultad respiratoria, ni picos febriles, por lo que es dada de alta al octavo día.

En cuanto al resultado perinatal, el recién nacido ingresa a cuidados intensivos neonatales con diagnóstico de bajo peso al nacimiento, síndrome de dificultad respiratoria y sospecha de sepsis. Se inicia antibioticoterapia a base de ampicilina 100 miligramos intravenoso cada 12 horas y gentamicina 9 miligramos intravenoso cada 36 horas, con toma de hemocultivos. Además, requiere ventilación mecánica durante los primeros dos días de nacimiento. Posteriormente ingresa a cuidados intermedios donde recibe oxígeno por cánula nasal, fototerapia por dos ocasiones y mantiene antibioticoterapia, la cual se suspende al cuarto día de hospitalización debido a resultado negativo de hemocultivos. Al octavo día presenta signos clínicos de conjuntivitis por lo que recibe tratamiento con polimixina B, neomicina y gramicidina 1 gota en cada ojo cada 4 horas por 7 días, manteniéndose estable durante el resto de días que estuvo en cuidados intermedios. Es dado de alta a los 15 días de vida con peso de 2145 gramos con edad gestacional corregida de 35 semanas. Al seguimiento, el recién nacido mostró un adecuado desarrollo psicomotor para su edad.


Discusión

De acuerdo al caso presentado, la paciente tuvo una ruptura prematura de membranas pretérmino lejos de término, que corresponde al 10%4. Descrito anteriormente complica entre el 2% y el 4% de las gestaciones únicas1. En cuanto al curso de esta patología hay autores que sugieren que hasta un 14% de los casos, el cuadro se autolimita, ya sea por un resellado de las membranas o por cambios en la decidua y el miometrio que pueden bloquear fugas2

También el 25% de las rupturas pueden acumular liquido durante su manejo expectante2. En relación al tiempo de latencia, aproximadamente la mitad de pacientes da a luz en la primera semana después de la ruptura de membranas3. Por otra parte, se ha descrito que el periodo de latencia promedio, en aquellas que no dan a luz dentro de las primeras 24 horas es de 10 a 14 días, y el 84% de las mujeres que permanece embarazada después de las primeras dos semanas de haber ocurrido la ruptura de membranas, da a luz a los 28 días posteriores a la ruptura4. Por otro lado para el diagnóstico, la evidencia de hidrorrea macroscópica es clave, sin embargo en ausencia de esta, se pueden realizar pruebas complementarias para el diagnóstico de RPM, como la medición del bolsillo vertical máximo o el índice amniótico1, así como otras pruebas confirmatorias como PAMG-1 (amnisure), IGFBP-1 (actim prom), proteína placentaria 12 y alfafetoproteína, nitrazina, cristalografía, fibronectina y en casos muy seleccionados, se puede realizar la prueba de instilación de índigo carmín o fluoresceína1.

Dentro del manejo inicial, tras corroborar la edad gestacional, presentación y bienestar fetal, es fundamental identificar presencia o ausencia de trabajo de parto, signos de infección materna o fetal, puesto que ello determina la conducta de manejo4. Se indica el ingreso para manejo intrahospitalario a partir de las 22 semanas1. La ACOG deja a criterio del médico la elección entre el manejo expectante o parto inmediato si la RPM ocurre entre las 34 semanas y 0 días y las 36 semanas y 6 días de gestación, pero es enfática en recomendar manejo expectante en diagnósticos antes de 34 semanas y 0 días de edad gestacional, siempre y cuando no existan signos de infección, labor de parto u otra contraindicación evidente para este enfoque4. El embarazo debe terminar de inmediato en el contexto de infección intrauterina, prolapso del cordón umbilical, desprendimiento de placenta, labor de parto o alteración en las pruebas de bienestar fetal4. No hay recomendación alguna de terminar el embarazo por un hallazgo aislado de oligohidramnios o anhidramnios3. En cuanto al manejo expectante, la ACOG recomienda la administración de corticoides para maduración pulmonar entre las 23 semanas y 0 días y las 33 semanas y 6 días de gestación4. Además, antibioticoterapia de latencia antes de las 34 semanas y 0 días por 7 días, a base de ampicilina 2 g IV cada 6 horas y eritromicina 250 mg IV cada 6 horas por 48 horas, seguido de amoxicilina 250 mg vía oral cada 8 horas y eritromicina de 333 mg vía oral cada 8 horas4. Sin embargo, existen múltiples esquemas antibióticos que pueden ser aplicados dentro del manejo expectante para casos de alergia a los antibióticos mencionados o idiosincrasias de la paciente6. No debe ser pasado por alto, el tomar una muestra vagino-rectal para cultivo de estreptococo del grupo B al momento de realizar el diagnóstico de RPM, puesto que es crucial la administración de profilaxis para el estreptococo del grupo B en caso de que sea positivo1. La ACOG indica tocolisis para el uso de los corticoides por 48h en menores de 34 semanas 0 días, contraindicando su uso por más de 48 h, o en casos de trabajo de parto avanzado (dilatación >4 cm) o con hallazgos subjetivos de corioamnionitis y si hay pruebas fetales no tranquilizadoras4. El uso de sulfato de magnesio como neuroprotección entre las 24 semanas 0 días y 31 semanas 6 días, en caso de que se anticipe el parto antes de las 32 semanas4. En definitiva, la conducta expectante y la decisión de cuándo terminar el embarazo comprende el manejo del equilibrio entre el beneficio de llegar a una mayor edad gestacional versus los riesgos de prematurez y de complicaciones por el tiempo prolongado de ruptura de membranas3. Las principales complicaciones maternas del manejo expectante de la RPM pretérmino son infección intraamniótica, endometritis, infección postparto, desprendimiento de placenta y sepsis4. Por otra parte, las principales complicaciones fetales son dificultad respiratoria, septicemia, hemorragia intraventricular, enterocolitis necrotizante y deterioro del desarrollo neurológico4.

De acuerdo a un ensayo controlado aleatorizado por el Cochrane en el 2017 se evaluó la relación entre el efecto del parto temprano planificado versus el manejo expectante7. Los autores de este articulo indicaron que el parto temprano se asocia con un aumento en la incidencia del síndrome de dificultad respiratoria neonatal, mortalidad neonatal, endometritis, inducción del parto y la probabilidad de parto por cesárea, con menor incidencia de corioamnionitis7. Además, Baser et al, compararon los resultados maternos y neonatales asociados a la RPM pretérmino con diferentes periodos de latencia en los que la edad gestacional media de finalización del embarazo fue de 31.6 ± 2.5 semanas y la latencia media de 15.1 ± 13.8 días, concluyendo que la actitud expectante hasta las 32 semanas aumenta el beneficio neonatal con mejores resultados sin aumentar los riesgos maternos y fetales8. La RPM pretérmino pude causar morbilidad neonatal independientemente de la edad gestacional8. T. Cobo et al, indican manejo expectante hasta las 34 semanas y hasta las 35 semanas en caso de que la ruptura se haya dado a partir de las 32 semanas1. En nuestro caso la paciente tuvo un tiempo de latencia de 11 días, recibió manejo expectante tomando en cuenta la edad gestacional al ingreso como indica el ACOG, se finalizó el embarazo debido a que la paciente presentó manifestaciones clínicas incipientes que sugirieron el inicio de una corioamnionitis (dolor uterino, abdominal, contracciones uterinas). Diagnóstico que fue además sugerido por el curso puerperal con endometritis postparto y confirmado por el reporte histopatológico de placenta y membranas con evidencia de corioamnionitis. A pesar de lo mencionado el recién nacido tuvo un buen curso y desarrollo neonatal, por lo que este manejo logró obtener buenos resultados maternos y neonatales.


Conclusión

Existen diferentes formas de manejo de la RPM pretérmino de acuerdo a la edad gestacional, el manejo expectante se recomienda siempre en menores de 34 semanas si no existen contraindicaciones maternas o fetales. Se ha descrito que la duración prolongada de la latencia no empeora el pronóstico neonatal con respecto a la supervivencia y no hay evidencia de que el parto inmediato después de la RPM evite riesgos maternos o neonatales, ya que si se decide finalizar prematuramente el embarazo pueden haber consecuencias graves a nivel del desarrollo del sistema nervioso y respiratorio, por lo que se debe realizar un manejo individualizado tomando en cuenta los riesgos y beneficios para la madre y el feto. 

Contribución de Autores

Valoración de la paciente, manejo clínico, pre y postquirúrgico: Juan Sebastián Sandoval.
Diseño, escritura, análisis, revisión científica del manuscrito: Melissa Hidalgo, Doménica Campoverde, Alejandra Calero, Vanessa García.
Revisión crítica del manuscrito: Juan Sebastián Sandoval
Aprobación de su versión final: Juan Sebastián Sandoval

Conflicto de intereses

Los autores declaramos no tener ningún conflicto de interés personal asociado con la publicación de este artículo, todos los autores participamos en la elaboración, escritura, diseño y análisis de esta publicación declaramos no haber recibido apoyo de ninguna entidad que pueda tener interés que afecte la validez de los resultados presentados. 

Agradecimientos

Agradecemos a todas las personas que hicieron posible la realización de este articulo y al Hospital Metropolitano de Quito por abrirnos las puertas para publicar este caso clínico. 

Financiación 

No fue necesario recibir algún tipo de financiamiento para la elaboración del presente artículo.