Casos Clínicos

Neumonía adquirida en la comunidad por Legionella pneumophila, una entidad infrecuente en Ecuador. Revisión bibliográfica y reporte de caso

Community-acquired pneumonia due to Legionella pneumophila, a rare entity in Ecuador. Bibliographic review and case report

Miguel Eduardo Jarrín Estupiñán1, Zanny Daniela Bastidas Arévalo2, Ana Cristina Chiliquinga Carvajal3, Stephany Michele Cuenca Hidalgo4



Resumen

La enfermedad del legionario es una de las múltiples formas de presentación de la infección por Legionella pneumophila, expresada con síntomas respiratorios leves o muy graves, con una mortalidad que oscila entre el 22 al 54%. La incidencia en nuestra región es desconocida debido al subregistro e infradiagnóstico. El tratamiento antibiótico inadecuado o tardío en la neumonía por Legionella se ha asociado con un peor pronóstico. De aquí la importancia de la sospecha clínica, el diagnóstico y el tratamiento oportunos. Presentamos el caso de una paciente extranjera que tras la visita a varios países de la región, presentó toma del estado general, síntomas respiratorios agudos llegando a la insuficiencia respiratoria, con alteraciones tomográficas en las que se describen principalmente múltiples opacidades alveolares consolidativas. Tras estos hallazgos, recibió terapia empírica antibiótica y corticoterapia parenteral con una adecuada respuesta clínica. El diagnóstico definitivo se confirmó por medio de analítica sanguínea con reacción en cadena de polimerasa (PCR) para Legionella pneumophila.

Palabras claves: Legionella, Legionella pneumophila, neumonía, revisión bibliográfica, reporte de caso.


Abstract

Legionnaires' disease is one of the many presentations of Legionella pneumophila infection, manifesting as mild to very severe respiratory symptoms, with a mortality rate ranging from 22% to 54%. The incidence in our region is unknown due to underreporting and underdiagnosis. Inadequate or delayed antibiotic treatment for Legionella pneumonia has been associated with a worse prognosis. Hence the importance of clinical suspicion, timely diagnosis, and treatment. We present the case of a foreign patient who, after visiting several countries in the region, presented with a generalized state, acute respiratory symptoms progressing to respiratory failure, and CT scans primarily describing multiple consolidative alveolar opacities. Following these findings, she received empirical antibiotic therapy and parenteral corticosteroids with an adequate clinical response. The definitive diagnosis was confirmed by blood tests using polymerase chain reaction (PCR) for Legionella pneumophila. 

Keywords: Legionella, Legionella pneumophila, pneumonia, literature review, case report.


  1. Médico Internista y Neumólogo. Médico tratante del servicio de Neumología. Hospital Metropolitano de Quito; Ecuador; https://orcid.org/0000-0002-7257-1967
  2. Médico posgradista de Medicina Interna. Hospital Metropolitano de Quito; Universidad Internacional del Ecuador; Quito; Ecuador; https://orcid.org/0009-0007-5615-3312
  3. Médico Internista y Neumólogo. Médico tratante del servicio de Neumología. Hospital Metropolitano de Quito; Ecuador; https://orcid.org/0000-0001-6490-0903.
  4. Médico Internista y Neumólogo. Médico tratante del servicio de Neumología. Hospital Metropolitano de Quito; Ecuador; https://orcid.org/0009-0005-3405-5549

Usted es libre de:
Compartir — copiar y redistribuir el material en cualquier medio o formato.
Adaptar — remezclar, transformar y construir a partir del material para cualquier propósito, incluso comercialmente.

Recibido: 20-03-2025
Aceptado: 10-07-2025
Publicado: 28-09-2025
DOI: 10.47464/MetroCiencia/vol33/3/2025/141-147

*Correspondencia autor: mjarrin85@gmail.com


Introducción

La legionelosis es una enfermedad infecciosa causada por la bacteria Legionella pneumophila, con dos formas de presentación clínica: la fiebre de Pontiac y la enfermedad de los legionarios, la primera con un comportamiento leve de manejo ambulatorio y la segunda con comportamiento más agresivo habitualmente manejada en hospitalización. La forma más común de transmisión de Legionella ocurre por inhalación de partículas contaminadas en sistemas de agua generadas por pulverizaciones, chorros y nebulizaciones1. La relevancia de este caso de neumonía grave por Legionella radica en la sospecha clínica dado el contexto epidemiológico y la confirmación oportuna gracias al empleo de técnica moleculares que impactan en el manejo adecuado, incidiendo en el buen pronóstico de los pacientes que cursan con esta condición infrecuentemente diagnosticada.


Reporte de caso

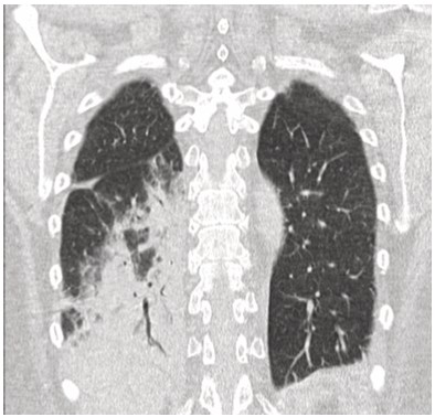
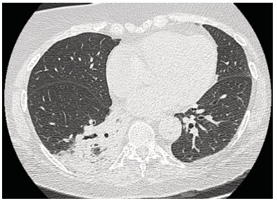
Mujer de 73 años procedente de Australia con antecedentes de hipertensión arterial, depresión, tiroiditis de Hashimoto e hipotiroidismo secundario. En las últimas semanas, como parte de su recorrido por Sudamérica, visitó Chile, Brasil, Argentina y Perú. En este último y durante su estancia en Machu Picchu, debuta con un cuadro clínico caracterizado por astenia, disnea de moderados esfuerzos, tos seca y cefalea opresiva holocraneana, tratada con medicación no especificada con mejoría parcial. Sin embargo, pocos días después y tras su llegada a Ecuador los síntomas se agudizan con aumento de la frecuencia e intensidad de la tos, así como la disnea y el compromiso general caracterizado por astenia, alza térmica y escalofrio. Tras esta presentación clínica es ingresada en el servicio de Emergencia destacando en la valoración clínica taquipnea (24 respiraciones por minuto), hipoxemia medida por pulsioximetría en 79%, con necesidad de aporte de oxígeno suplementario, taquicardia (100 latidos por minuto). En la auscultación pulmonar con presencia de crepitantes difusos y sibilancias basales, además edema de miembros inferiores. Dentro de la evaluación complementaria destaca la presencia de leucocitosis y neutrofilia, elevación de proteína C reactiva y la elevación significativa del dímero D (tabla 1). El panel respiratorio por PCR de 13 patógenos fue negativo. En los estudios de imagen infiltrados alveolares multilobares con broncograma aéreo y un estudio angiotomografico sin evidencia de defectos de llenado que sugieran tromboembolia pulmonar (TEP) (figuras 1-3).

Tabla 1. Exámenes de laboratorio.

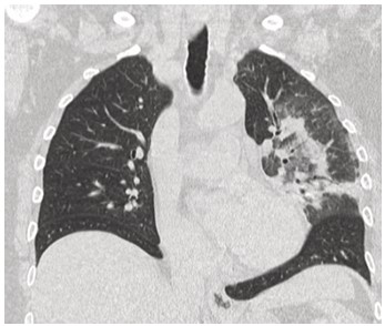
Figura 1. Tomografía de tórax simple de alta resolución, corte coronal: presencia de consolidado en lóbulo superior izquierdo y región apical del segmento 6, signo del halo inverso.

Figura 2. Tomografía de tórax simple de alta resolución, corte coronal: presencia de consolidado con broncograma aéreo en lóbulo inferior derecho.

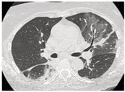
Figura 3. Tomografía de tórax de alta resolución, corte axial. Izquierda: presencia de consolidado en lóbulo inferior derecho. Derecha: Língula.

La sospecha diagnóstica en este caso se fundamentó principalmente por los antecedentes de viajes recientes, así como el compromiso multilobar de la neumonía y su asociación con hiponatremia severa. El estudio confirmatorio de la enfermedad del legionario se realizó con el resultado positivo de PCR de Legionella (Legionella spp/ Legionella pneumophila) sérica (tabla 1). Una vez confirmado el diagnóstico, el tratamiento consistió en antibioticoterapia con quinolonas (levofloxacina) y corticoide parenterales, acompañado de terapia respiratoria, logrando mejoría ventilatoria y de hipoxemia.


Discusión

Legionella pneumophila es una bacteria Gram-negativa que habita en agua contaminada dulce, como lagos y ríos, y que tiene la gran capacidad de proliferar en sistemas de agua artificiales2,3. El término legionelosis se utiliza para describir cualquier cuadro clínico relacionado con la infección causada por bacterias del género Legionella. El espectro clínico abarca un síndrome no neumónico, similar a la gripe, denominado fiebre de Pontiac y que generalmente se contrae durante brotes; así como la enfermedad del legionario, el cual es una forma más seria que se manifiesta con neumonía4. Su descubrimiento se debe a la investigación realizada tras un brote de neumonía severa que afectó a 182 participantes de una convención de la Legión Americana (de allí su el origen de su nombre) en el año de 1976 en Filadelfia, debido a la contaminación del sistema de aire acondicionado del hotel por Legionella pneumophila3–5.

En América Latina, no se reportan datos epidemiológicos confiables sobre la Legionella, lo que limita el conocimiento acerca de la incidencia de esta enfermedad en la región. La falta de una infraestructura adecuada para la recolección y análisis de datos, así como la escasa vigilancia epidemiológica, dificulta la obtención de cifras precisas sobre los casos de infección por Legionella. Esto contribuye a una subestimación de la enfermedad y dificulta la implementación de estrategias de prevención y control efectivas. La carencia de datos oficiales resalta la necesidad urgente de mejorar la capacidad de diagnóstico y monitoreo de Legionella en América Latina. En Santiago de Chile, se realizó un estudio prospectivo multicéntrico durante 18 meses, entre el 2005 y 2006, con casos de neumonía grave adquirida en la comunidad, en donde Legionella pneumophila fue identificada como la segunda causa más común con una incidencia del 8,6%, después de Streptococcus pneumoniae6.

La legionelosis representa un verdadero desafío para la salud pública en numerosos países del tercer mundo en donde se desconoce su incidencia real debido al infradiagnóstico. Es una infección emergente que está relacionada con el avance de la tecnología, la industrialización, la proliferación de sistemas de refrigeración y la estadía en hoteles7. En los países más desarrollados las notificaciones han ido en aumento en los últimos años debido a la mayor sospecha clínica y a la identificación de los casos con el avance de las pruebas de detección2. Las cifras varían entre las distintas regiones del mundo; en Europa, Australia y Estados Unidos, se reportan anualmente entre 10 y 15 casos de legionelosis por cada millón de habitantes2,8. Las tasas parecen ser más elevadas en países de altos ingresos y en las zonas templadas. Sin embargo, no hay suficientes investigaciones en países de ingresos bajos y medios para llegar a conclusiones sobre las tasas en estas áreas. Los Centros para el Control y Prevención de Enfermedades estima que cada año se producen de 10.000 a 20.000 casos en los Estados Unidos, de los cuales tan solo de 1500 a 1800 son notificados. De todos los casos de neumonía adquirida en la comunidad, las especies de Legionella son responsables del 2 al 10%, siendo más frecuente en los casos de enfermedad grave5. Los factores de riesgo para la legionelosis incluyen edad avanzada, sexo masculino, condiciones de inmunosupresión, cáncer, diabetes, trasplantados, inhibidores del factor de necrosis tumoral alfa, medicamentos anti CD52, sobrecarga de hierro, tabaquismo, enfermedades respiratorias crónicas, enfermedades cardiovasculares, enfermedad renal crónica, consumo de alcohol, exposición a depósitos de agua artificiales contaminados1,4.

Clínicamente, se manifiesta con fiebre, tos y disnea, síntomas que se presentan entre 2 a 10 días después de la exposición a la fuente de contaminación (suministros de agua en hospitales, hoteles, edificios, jacuzzis, piscinas, fuentes, viajes y contacto con tierra)7,9. Al examen físico, se puede identificar estertores u otros signos de consolidación. Como en el caso presentado, la muestra de esputo suele ser difícil de recolectar3,10. Los hallazgos radiológicos son muy variables e inespecíficos. Generalmente, se presenta con infiltrados unilobulares irregulares, que pueden progresar a consolidaciones. Se han descrito algunas situaciones adicionales que aumentan el índice de sospecha de legionelosis: síntomas gastrointestinales (náusea, vómito y diarrea), hiponatremia, elevación de transaminasas hepáticas y proteína C reactiva mayor a 100 mg/L4. Dado que el diagnóstico temprano y el tratamiento adecuado con terapia antimicrobiana están relacionados con mejores resultados en los pacientes con enfermedad del legionario, se debe realizar pruebas a los siguientes grupos de pacientes:3,4: todos aquellos con neumonía adquirida en la comunidad (NAC) de moderada a grave o que necesiten hospitalización, pacientes con NAC o neumonía nosocomial que hayan tenido una posible o confirmada exposición a Legionella (por ejemplo, durante un brote), y pacientes inmunodeprimidos, quienes tienen un mayor riesgo de infección por Legionella.

Las principales opciones para diagnosticar la infección por Legionella incluyen la detección de ácidos nucleicos (como la reacción en cadena de la polimerasa [PCR]), pruebas de antígenos en orina y cultivo. Cuando se realizan pruebas para Legionella en pacientes con neumonía se prefiere utilizar PCR en una muestra del tracto respiratorio inferior (por ejemplo, esputo o muestra de lavado broncoalveolar), ya que la PCR ofrece una alta precisión diagnóstica y es capaz de detectar el germen. La PCR es la prueba preferida para diagnosticar la enfermedad del legionario. Se puede realizar en casi cualquier tipo de muestra y es capaz de detectar todas las especies y serotipos clínicamente relevantes de Legionella. Por otro lado, la prueba de antígeno de Legionella en orina es una alternativa utilizada para diagnosticar esta enfermedad. La sensibilidad de las pruebas de antígeno en orina varía entre el 70 y el 80% y la especificidad alcanza casi el 100% en pacientes con la enfermedad del legionario causada por L. pneumophila serotipo 1. Los antígenos de Legionella pueden detectarse en la orina tan solo un día después del inicio de los síntomas y permanece presente durante días a semanas1,4,11.

Legionella representa entre el 1% y el 10% de los casos de neumonía adquirida en la comunidad. En la mayoría al seleccionar un tratamiento antibiótico empírico para pacientes con NAC, generalmente se incluye un antibiótico dirigido contra Legionella, como una fluoroquinolona o un macrólido. La elección de estos agentes y la necesidad de antibióticos adicionales dependen de la gravedad de la neumonía, las comorbilidades del paciente y la epidemiología local4,5. La levofloxacina y la azitromicina son los antibióticos preferidos para tratar la enfermedad del legionario, ya que son bactericidas, alcanzan altas concentraciones intracelulares, penetran en el tejido pulmonar y son efectivos contra todas las especies de Legionella12. Para los pacientes con neumonía moderada o grave (cualquier paciente hospitalizado o aquellos con una puntuación CRB/CURB-65 ≥1 o índices de gravedad de la neumonía [PSI] >II causados por cualquier especie de Legionella, se utiliza una fluoroquinolona o un macrólido. En pacientes con neumonía leve (con una puntuación CRB/CURB-65 de 0 o PSI de I a II) debido a L. pneumophila, preferimos administrar levofloxacino o azitromicina. No obstante, no es necesario modificar el tratamiento si los pacientes están siendo tratados con otras fluoroquinolonas, macrólidos o tetraciclinas y están respondiendo favorablemente4,12. Las dosis mayores de levofloxacino (como 750 mg diarios) pueden lograr una resolución más rápida de los síntomas en comparación con las dosis más bajas (500 mg diarios); por esta razón, optamos por usar dosis más altas de este medicamento. Los macrólidos, excepto la azitromicina, tienen un efecto bacteriostático contra Legionella y parecen ser menos efectivos que el levofloxacino o la azitromicina4. La duración ideal del tratamiento para la enfermedad del legionario no ha sido establecida y depende del antibiótico utilizado, la gravedad de la enfermedad y la respuesta del paciente a la terapia. En general, se recomienda un mínimo de cinco días de tratamiento y no se suspende hasta que el paciente esté clínicamente estable y sin fiebre durante al menos 48 horas. Los pacientes con neumonía grave o enfermedades crónicas asociadas pueden responder más lentamente y, por lo tanto, suelen necesitar entre 7 y 10 días de tratamiento. Aquellos con complicaciones (como abscesos pulmonares, empiema o infecciones extrapulmonares) y los pacientes inmunodeprimidos generalmente requieren tratamientos más prolongados. El uso adicional de glucocorticoides puede ser beneficioso en pacientes con enfermedad del legionario grave. Debido a que las infecciones por Legionella provocan una respuesta inflamatoria significativa, el tratamiento con glucocorticoides parece prometedor. La mayoría de los pacientes con la enfermedad del legionario responden de manera rápida al tratamiento, mejorando en un plazo de dos a cinco días. La normalización de los cambios radiográficos ocurre generalmente después de la mejoría clínica1,4.

 

Conclusiones

La legionelosis es un desafío para la salud pública en países subdesarrollados, donde su incidencia real es difícil de determinar debido al infradiagnóstico. Las personas con un sistema inmunológico comprometido, enfermedades crónicas o hábitos de riesgo como el tabaquismo y el consumo excesivo de alcohol son más vulnerables a contraer la enfermedad por Legionella. La exposición a fuentes de agua contaminada, como sistemas de climatización o depósitos artificiales, incrementa la probabilidad de infección. La legionelosis se manifiesta clínicamente con fiebre, tos y disnea, apareciendo entre 2 y 10 días después de la exposición a fuentes de contaminación. Las principales opciones para diagnosticar la infección por Legionella incluyen la detección de ácidos nucleicos (como la reacción en cadena de la polimerasa [PCR]), pruebas de antígenos en orina y cultivo. La levofloxacina y la azitromicina son los antibióticos preferidos para tratar la enfermedad del legionario, ya que son bactericidas, alcanzan altas concentraciones intracelulares, penetran en el tejido pulmonar y son efectivos contra todas las especies de Legionella. En nuestro medio es una entidad infrecuente y la sospecha clínica en pacientes con viajes recientes y neumonía, debe ser considerada.

Contribución de autores:

Diagnóstico, seguimiento y tratamiento del paciente: MJ.
Concepción y diseño del trabajo: MJ, AC, ZB, MC.
Análisis e interpretación de datos, redacción del manuscrito y revisión crítica del manuscrito: MJ, AC, ZB, MC.

Financiación:

No fue necesario financiamiento económico.

Conflicto de interés: 

Los autores declaramos no tener ningún tipo de conflicto de interés con el Hospital Metropolitano, ni con los miembros de la revista MetroCiencia.

Confidencialidad de los datos: 

Los autores declaran que han seguido los protocolos de su centro de trabajo sobre la publicación de datos de pacientes.

Derechos a la privacidad y consentimiento informado: 

Los autores declaran que en este artículo no aparecen datos del paciente.